L.15 Tetori, te shkolla "Mark Dashi", Fier
+355692171179
logo

                                                          Our Work

Ortodonci

Vendosja e aparatit ortodontik ne harkaden superiore ose vendosja e braketave ne nofullën e sipërme.  Zbritja e kaninëve (dhëmbët e qenit) në harkadë

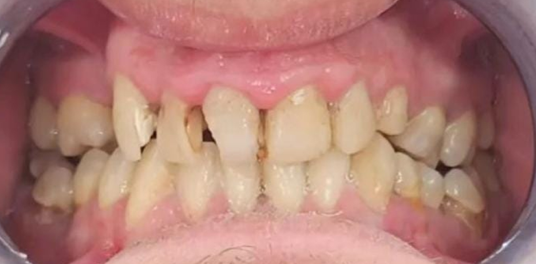
Protetik

Rregullimi i harkadës superiore pra nofullën e sipërme me material zirkoni.Kjo procedure eshte arritur duke bere mbushje kanalare me ritrajtime endodontike,rregullimi i kafshimit okluzal.Pervec kthimit te buzëqeshjes i kemi kthyer pacientit dhe funksionabilitetin e nofullës

Ortodonci

Proçedurë e realizuar nga aparati ortodontik e cila ben te mundur si ne rastin e fotos rregullimin dhe ngritjen e kafshimit,ndërsa drejtimi i dhembeve eshte realizuar me braketa metalike  per nje kohe te gjate per 1vit e gjysem

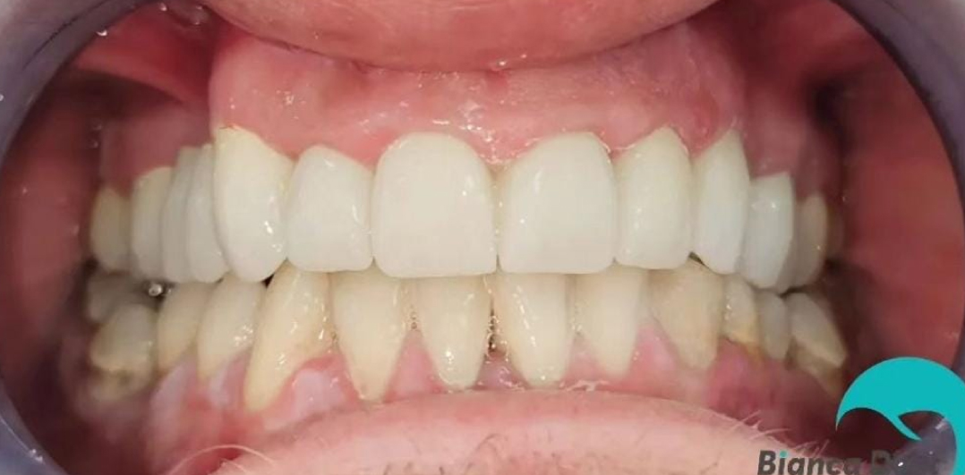
Protetik

Procedure protetike superiore me material zirkoni.Pacientja ka vendosur 14 elemente zirkoni ne nofullën e sipërme

Protetik

Kemi rikthyer buzëqeshjen ne te dyja harkadat dentare me material metal porcelani.Kemi rregulluar kafshimin kemi bere ritrajtime endodontike(mbushje te dhembeve) i kemi bere ngritje me kulte me vida dhe i kemi rikthyer buzëqeshjen  e humbur pacientes me procedure protetike

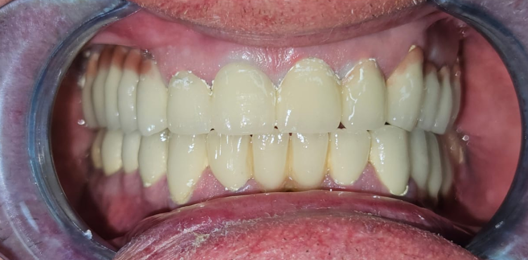
Protetik

Urë totale me material metal porcelani.Kemi bere te mundur rikthimin e buzëqeshjes,fonetikes,funksionabilitetit dhe estetikes
See More